1Hubei University of Chinese Medicine, Wuhan, China;
2Hubei Provincial Hospital of Traditional Chinese Medicine, Wuhan, China
Von Hippel–Lindau (VHL) syndrome is an autosomal dominant hereditary tumor syndrome caused by mutations in the VHL gene. It is characterized by the occurrence of tumors in multiple organs. Pancreatic involvement in VHL syndrome can present as pancreatic cysts or neuroendocrine tumors, which may interfere with both pancreatic exocrine and endocrine pancreatic functions. To our knowledge, no patients with VHL syndrome complicated by diabetes mellitus, pulmonary nodules, and thyroid nodules are reported in the literature. This study aims to explore the pathogenesis of diabetes, pulmonary nodules, and thyroid nodules in VHL syndrome through the analysis of a patient with VHL syndrome and to review relevant literature.
Key words: diabetes mellitus, hereditary tumor syndrome, insulin therapy, Von Hippel–Lindau syndrome
Received: 12 May 2025; Accepted after revision: 6 August 2025; Published: 18 September 2025
Author for correspondence: Yong Zhao, Hubei University of Chinese Medicine, Wuhan, China. Email: zhaoyongnfm@163.com; Xinhe Zuo, Hubei Provincial Hospital of Traditional Chinese Medicine, Wuhan, China. Email: fl1976@163.com
Academic Editor: Ulka Vaishampayan, MD, Department of Medicine, University of Michigan, Michigan, USA
How to cite: Peng G, et al. VHL Syndrome with Diabetes Mellitus, and Pulmonary and Thyroid Nodules: A Case Report. J Kidney Cancer. 2025;12(3): 37–46.
Copyright: Peng Z., et al.
License: This open access article is licensed under Creative Commons Attribution 4.0 International (CC BY 4.0). http://creativecommons.org/licenses/by/4.0
Von Hippel–Lindau (VHL) syndrome is an autosomal dominant hereditary tumor syndrome. It is caused by germline mutations in the VHL tumor suppressor gene located on the short arm of chromosome 3 (1, 2). The VHL protein is an E3 ubiquitin ligase that targets hypoxia-inducible factors (HIF), HIF-1a, HIF-2a, and HIF-3a, and is degraded by proteasome (3, 4). Under hypoxic conditions, the binding of VHL protein to HIF-1a and its degradation are inhibited, thereby allowing transcription of HIF-1 target genes to promote angiogenesis, proliferation, and metabolism (3). Loss of functional mutations in the VHL gene results in dysregulation of HIF pathway, with a significant increase in HIF-1 activity because of the impaired proteasomal degradation of HIF-1a and HIF-2a. Dysregulation of HIF promotes tissue-specific effects on cell growth and tumor susceptibility (5), leading to the development of tumors in multiple organs.
The reported prevalence of VHL is 1 in 36,000, with significant penetration in more than 90% of patients aged >65 years, and there are no clear reports that the prevalence and incidence of VHL are related to their ethnicity, race, culture, or gender. VHL syndrome is characterized by the presence of hypervascular tumors in multiple organs, including the central nervous system (CNS: cerebellum, brain stem, and spinal cord), retina, pancreas, adrenal gland, endolymphatic sac of the inner ear, epididymis (male), broad ligaments (female), and kidneys, among others (6, 7).
VHL syndrome has a characteristic genotype–phenotype correlation and is classified into three types. Type I VHL syndrome is defined by retinal and CNS hemangioblastomas, renal cysts/renal cell carcinomas, and pancreatic cysts, exhibiting a very low pheochromocytoma (PHEO) risk but high predisposition to hemangioblastomas and renal carcinomas. This subtype is predominantly caused by VHL gene mutations involving exon deletions, truncations, transitions, or nonsense variants that induce complete functional loss of VHL protein (pVHL). Patients are usually divided into 1A (with renal cell carcinoma) and 1B (without renal cell carcinoma) types according to the presence or absence of renal cell carcinoma. Type II, which includes pancreatic pheochromocytoma and islet cell tumors in addition to retinal and CNS angioblastomas, has a higher risk of PHEO and is characterized by VHL missense mutations (1, 2, 8), resulting in only single amino acid changes in VHL protein. Type II is subdivided into 2A (low-risk renal cell carcinoma [RCC]), 2B (high-risk RCC), and 2C (PHEO only) subtypes (8–10), according on the degree of risk of RCC. Type III is uncommon, and certain early-onset or highly aggressive forms of VHL may be included in this category, but there is no consensus about this. VHL-associated tumors frequently lose the functioning of the remaining wild-type VHL allele in a process known as loss of heterozygosity (LOH) (8, 9).
Pancreatic involvement in VHL syndrome can present as pancreatic cysts and neuroendocrine tumors, which may interfere with pancreatic exocrine and endocrine functions, leading to the development of diabetes mellitus (DM). However, clinical observations of VHL syndrome complicated by DM, pulmonary nodules, and thyroid nodules are extremely limited.
Through the analysis of the present patient, we explore the characteristics of VHL syndrome with diabetes, along with the formation of pulmonary and thyroid nodules. We collate the available data on the little-known association of VHL syndrome with significant dysglycemia with pulmonary nodules and thyroid nodules.
A 29-year-old male was admitted to the hospital in January 2021 because of unexplained weight loss over the past 6 months. He had lost approximately 7 kg of weight. In October 2020, during a routine physical examination, his fasting blood glucose level was found to be 9.2 mmol/L, and his urine glucose level was (+++). In December 2020, his fasting blood glucose level was rechecked at 10.1 mmol/L. Physical examination revealed a blood pressure of 132/80 mmHg, a pulse rate of 102 beats/min, height: 1.70 m, weight: 75 kg, and BMI: 25.95 kg/m2. No abnormalities were detected during cardiac or pulmonary examinations. The abdomen was soft, with no significant tenderness or rebound tenderness, and there was no edema in the lower limbs.
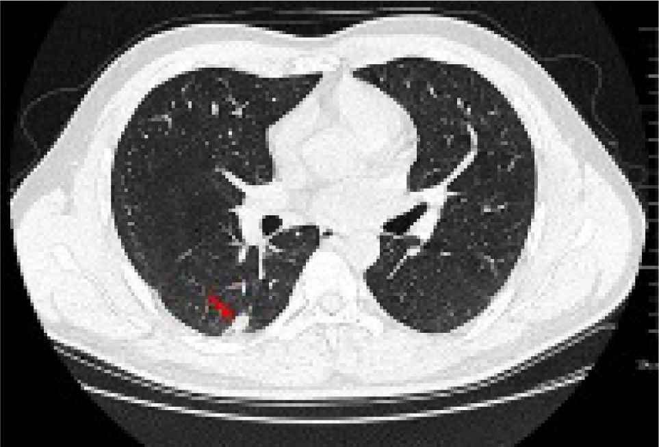
Further examinations were conducted upon admission (Table 1). A chest CAT (CT) scan conducted on January 15, 2021 suggested a possible pulmonary infection with a shadow measuring approximately 19×9 mm in the right lower lobe (Figure 1).
Table 1: Laboratory measurements of the patient (2021, 2024).
| 2021 | 2024 | Normal range | |
|---|---|---|---|
| ALT (U/L) | 73 | 168 | 9–50 |
| AST (U/L) | 33 | 82 | 15–40 |
| MAU (mg/L) | 14.9 | 9.5 | 0–30 |
| CREA (mmol/L) | 53 | 43 | 57–97 |
| INS (uIU/mL) | 4.83 | 1.65 | 6–27 |
| C-PE (ng/mL) | 0.97 | 0.69 | 0.81–3.85 |
| GLU (mmol/L) | 8.6 | 20.6 | 3.9–6.1 |
| KET (mmol/L) | 0.1 | 0.4 | 0–0.3 |
| HbA1C (%) | 8.4 | 13.2 | 3.6–6.0 |
| CEA (ng/mL) | 3.48 | 7.07 | 0–5.0 |
| AFP (ng/mL) | <1.3 | <1.3 | 0–8.1 |
| TP (g/L) | 63.7 | 51.7 | 65–85 |
| ALB (g/L) | 38.6 | 35.2 | 40–55 |
| Vit D (ng/mL) | 6.83 | 6.07 | <20 indicates deficiency |
| NSE (ng/mL) | 27.89 | 9.98 | <16.31 |
| CYFRA21-1 (ng/mL) | No measure | 3.14 | <3.3 |
| ACTH (pg/mL) | No measure | 40.12 | <46 |
ALT: alanine aminotransferase; AST: aspartate aminotransferase; MAU: microalbuminuria; CREA: serum creatinine; INS: insulin; C-PE: C-peptide; GLU: glucose; KET: ketone bodies; HbA1C: glycosylated hemoglobin, type A1C; CEA: carcinoembryonic antigen; AFP: alpha-feto protein; TP: total protein; ALB: albumin; Vit D: vitamin D; NSE: neuron-specific enolase; CYFRA21-1: cytokeratin 19 fragment; ACTH: adrenocorticotropic hormone.
Figure 1: Lung CT shows that there is a calabash type density increase in the dorsal segment of the lower lobe of the right lung, the size of which was about 19×9 mm (red arrow).
An abdominal CT on January 16, 2021 revealed renal and pancreatic masses, and an enhanced abdominal CT scan on January 18, 2021 showed multiple pancreatic cysts/cystadenomas and multiple kidney cancers in both kidneys and a small cyst in the left kidney (Figure 2). A cranial magnetic resonance imaging (MRI) done on January 29, 2021 revealed a possible mass in the right temporal bone jugular foramen, with a cross-sectional area of approximately 12×18 mm (Figure 3). The patient refused further examination of the brain and abdomen for personal reasons and denied any family history of VHL syndrome. He was diagnosed with DM and treated with tablet voglibose, 0.2 mg, three times daily (tds), and injection glargine insulin, 12 units once daily (OD). Despite the treatment, he continued to suffer from progressive weight loss over the next 6 months, losing an additional 7 kg.
Figure 2: Contrast-enhanced CAT (CT) scan of the abdomen shows (A) multiple low-density nodules in the pancreas (red arrow); (B) low-density nodules in the left kidney, and multiple nodules of different sizes in both kidneys, which were heterogeneous enhancement (red arrow).
Figure 3: A magnetic resonance imaging (MRI) of the cranial reveals a possible mass in the right temporal bone jugular foramen, with a cross-sectional area of approximately 12×18 mm (red arrow); (A) sagittal position, and (B) flair view.
In November 2024, the patient was readmitted to the hospital because of polydipsia, weakness in the lower limbs, and a weight loss of 38 pounds over the past 3 years. His current antidiabetic regimen included tablet acarbose, 50 mg, tds before meals. His fasting blood glucose levels ranged from 10 mmol/L to 14 mmol/L. Physical examination revealed a pulse rate of 95 beats/min, blood pressure of 124/87 mmHg, height: 1.71 m, weight: 56 kg, and BMI: 19.15 kg/m2. The patient appeared pale and fatigued, with no significant abnormalities detected during pulmonary or cardiac examinations, and no edema in the lower limbs. Laboratory examination was performed after admission (Table 1).
Full abdominal CT and lung CT revealed a high-risk pulmonary nodule in the right lower lobe (Figure 4), pancreatic enlargement with multiple cystic lesions, and multiple ill-defined low-density lesions in both kidneys (Figure 5).
Figure 4: Lung CAT (CT) shows a ground glass nodule (12×9 mm) in the posterior basal segment of the right lower lobe (IM51), with signs of pleural depression (red arrow).
Figure 5: Full abdominal CAT (CT) scan shows pancreatic enlargement with (A) multiple cystic foci and scattered calcification in the pancreas (red arrow), and (B) multiple low-density nodules in the kidney (red arrow).
Brain MRI revealed a cystic mass in the right cerebellar hemisphere measuring approximately 40 mm (Figure 6). Thyroid color Doppler ultrasound revealed solid and cystic nodules in both thyroid lobes (C-TIRADS: Category 3) (Figure 7). His fasting blood glucose level was 20.6 mmol/L. On November 29, 2024, he was treated with intensive insulin therapy, and his antidiabetic regimen was adjusted to injection aspart insulin, 4 units tds daily before meals and injection degludec insulin, 5 units once daily at night. The patient’s fasting blood glucose stabilized at 4.5–5.0 mmol/L, and postprandial blood glucose stabilized at 6.0–8.0 mmol/L in 3 days before discharge, and his clinical manifestations, such as polydipsia and weakness in the lower limbs, decreased significantly.
Figure 6: Magnetic resonance imaging (MRI) of the brain reveals a cystic mass in the right cerebellar hemisphere, approximately 40 mm in size (red arrow); (A) sagittal position, and (B) flair view.
Figure 7: Thyroid color Doppler ultrasound shows bilateral cystic and solid thyroid nodules with clear boundaries, measuring (A) about 0.44×0.27 cm (right) (red arrow), and (B) 0.41×0.24 cm (left) (red arrow) (C-TIRADS: category 3).
On December 18, 2024, genomic DNA was extracted from the patient’s blood sample to construct a genomic library. Target gene exons and adjacent splicing regions (approximately 20 bp), as well as the entire mitochondrial genome, were captured by probe hybridization and enriched. The enriched genes were subjected to quality control and sequenced using a next-generation sequencing instrument. A mutation in the VHL gene was detected. The raw sequencing data were first filtered to remove reads that did not meet quality control standards. The remaining reads were aligned with the human reference genome sequence (hg19) provided by the University of California Santa Cruz (UCSC) Genome Browser using genomic alignment software. Variants were identified using a mutation detection software module for single nucleotide variants (SNVs) and insertions/deletions (InDels). The variants were further annotated and filtered using professional databases, bioinformatics prediction software, and our own local databases and analysis software. Copy number variation (CNV) analysis was performed on the probe coverage regions using CNV detection algorithms.
A constitutional mutation in the VHL gene was detected (seq[GRCh37]del(3)(3p25.3)chr3:g.10183461_10183871del), indicating a possible copy number deletion variant of approximately 0.41 Kbp in the 3p25.3 region. This finding confirmed the diagnosis of VHL syndrome.
Von Hippel-Lindau syndrome comprises distinct subtypes associated with varied tumorigenic manifestations. In this case, the patient was diagnosed with VHL type 1A. Recent investigations (10), involving 58 VHL patients with hemangioblastomas, have revealed development of DM in six patients (10.3%). Notably, no documented patients with VHL syndrome concurrently presenting with DM, pulmonary nodules, and thyroid nodules exist. While pancreatic cysts in VHL may predispose to DM, this complication is not universally observed. Nonetheless, pancreatic neoplasms remain a plausible contributor to glucose dysregulation.
The pathogenesis of DM in VHL syndrome involves two primary mechanisms: (i) pheochromocytoma-induced secondary DM, and (ii) pancreatic endocrine dysfunction secondary to cystic replacement of parenchyma. In this case, the patient did not have pheochromocytoma but had pancreatic cysts, suggesting that the development of DM COULD be related to the extensive replacement of normal pancreatic tissue by cysts. VHL-related pancreatic pathology encompasses true cysts (serous cysts), serous cystadenomas, and neuroendocrine tumors (VHL-pNET) (11–14). Although pancreatic cysts typically remain clinically silent (11, 13, 15), emerging evidence associates extensive cystic involvement with DM pathogenesis (16–18). Few patients with DM associated with these pancreatic lesions are documented in the literature (Table 2). Current literature documents sparse patients with DM linked with such lesions (Table 2), which notably lack concomitant exocrine insufficiency—a distinguishing feature from classical type 3C DM. This suggests predominant endocrine impairment in VHL-related pancreatic disease. Supporting this hypothesis, a cohort study of 36 pancreatic tumor patients (19), identified DM in seven patients (19.4%), reinforcing the association between pancreatic neoplasia and metabolic dysregulation.
Table 2: Literature review of patients with VHL and diabetes and pulmonary nodule in the past 10 years.
| Cases | Age/gender | Pancreas lesion | DM | IAA | Fasting C-peptide | Fasting insulin | Lung | Renal | CNS | PHEO | VHL gene mutation |
|---|---|---|---|---|---|---|---|---|---|---|---|
| Wang et al., 2024 (22) | 28/female (F) | Neuroendocrine tumor | Y | NA | 0.68 | Not measured | N | N | N | Y | c.340+3_340+10delinsCG (in intron 1) |
| Wang et al., 2024 (22) | 41/male (M) | Multiple cysts | Y | 1.77 | 1.62 | 11.2 | N | Y | Y | N | c.642+70C>A (in3’-untranslated region of exon 3) |
| Onishi et al., 2024 (19) | 23/M | Neuroendocrine tumor | Y | NA | NA | NA | N | Y | Y | N | NA |
| Onishi et al., 2024 (19) | 23/F | Neuroendocrine tumor | Y | NA | NA | NA | N | Y | Y | N | NA |
| Onishi et al., 2024 (19) | 30/M | Pancreas cysts | Y | NA | NA | NA | N | N | Y | N | NA |
| Onishi et al., 2024 (19) | 36/M | Pancreas cysts | Y | NA | NA | NA | N | N | Y | N | NA |
| Onishi et al., 2024 (19) | 40/M | Neuroendocrine tumor | N | N | N | N | N | N | Y | N | NA |
| Onishi et al., 2024 (19) | 41/M | Pancreas cysts | Y | NA | NA | NA | N | Y | Y | N | NA |
| Onishi et al., 2024 (19) | 50/M | Neuroendocrine tumor | Y | NA | NA | NA | N | Y | Y | N | NA |
| Onishi et al., 2024 (19) | 54/M | Pancreas cysts | N | N | N | N | N | Y | Y | Y | NA |
| Onishi et al., 2024 (19) | 58/F | Neuroendocrine tumor | Y | NA | NA | NA | N | N | Y | N | NA |
| Huang et al., 2022 (17) | 34/F | Multiple cysts | Y | NA | NA | NA | N | N | Y | N | c.233A>G(p.Asn78Ser) |
| Belaid et al., 2020 (23) | 17/F | None | Y | NA | NA | NA | N | N | N | Y | c.191G>C(p.Arg64Pro) |
| Giri et al., 2020 (24) | 34/F | Multiple cysts | Y | NA | NA | NA | N | N | Y | N | NA |
| Faiyaz-ul-Haque et al., 2020 (20) | 44/M | Multiple cysts | N | N | N | N | Y | Y | Y | N | c.227_229delTCT(p.Phe76del) |
| Faiyaz-ul-Haque et al., 2020 (20) | 45/M | Multiple cysts | N | N | N | N | N | Y | Y | N | c.227_229delTCT(p.Phe76del) |
| Saowapaet al., 2019 (25) | 42/M | Multiple cysts | Y | NA | NA | NA | N | Y | N | N | c.263G>A(p.Trp88Stop) |
| Kaluarachchiet. al., 2018 (26) | 34/F | None | Y | NA | NA | NA | N | N | Y | Y | No mutation detected |
| Ayloo et al., 2016 (27) | 66/F | Multiple cysts | Y | NA | NA | NA | N | Y | Y | N | NA |
| Panayi et al., 2016 (28) | 44/F | Neuroendocrine tumor, total pancreatectomy | Y | NA | NA | NA | N | Y | Y | N | NA |
| Heo et al., 2016 (29) | 74/M | None | Y | NA | NA | NA | N | Y | Y | N | c.208G>A(p.Glu70Lys) |
| Medina et al., 2014 (30) | 41/F | Serous cystadenoma | Y | NA | NA | NA | N | Y | N | N | NA |
| Present case | 29/M | Multiple cysts | Y | NA | 0.97 | 4.83 | Y | Y | Y | N | seq [GRCh37] del(3) (3p25.3) chr3:g.10183461_ 10183871del |
N: normal; Y: yes; NA: not acquired; DM: diabetes mellitus; IAA: insulin autoantibody; FCPE: fastig C-peptide; FINS: fatsing insulin; Renal: renal cysts or renal cancer; CNS: central nervous system hemangioblastomas; and PHEO: pheochromocytoma.
More rarely, this patient presented with pulmonary and thyroid nodules, which were not reported previously in the literature. A literature review revealed only two patients with VHL syndrome with multiple pulmonary nodules (20), but neither of these patients had DM. However, both patients (siblings) had the same germline mutation p.phe76del, which suggested that the pulmonary lesions in these patients were related to the specificity of the VHL protein mutation p.phe76del. Nevertheless, other diseases, such as pneumonia, pulmonary tuberculosis, and non-VHL-related tumors, can also cause pulmonary nodules. However, no significant respiratory manifestations, such as persistent dry cough, shortness of breath, chest pain, or pulmonary rales (crackles), were discovered in their clinical histories, indicating that VHL syndrome complicated by pulmonary nodules can be asymptomatic and easily overlooked in clinical practice, leading to potential underdiagnosis.
Regarding the pathogenesis of VHL syndrome complicated by thyroid nodules, studies have shown that VHL gene alterations, as a core molecular marker of metastatic clear cell renal cell carcinoma (ccRCC), have a key value in the diagnosis of thyroid nodules. Clear cell renal cell carcinoma (ccRCC), the most common malignancy with metastasis to the thyroid gland (>20%), is characterized by high frequency of VHL gene inactivation (49–89%), which is rare in primary thyroid tumors. Fine-needle aspiration (FNA) samples were examined by targeted sequencing of ThyroSeq v3. If VHL pathogenic mutations (e.g., missense/nonsense/frameshifting mutations) or copy number loss (CNA) were found together with loss of expression of thyroid epithelial markers (e.g., thyroglobulin), then it can specifically be diagnosed as metastatic ccRCC (all 18 cases were confirmed clinically). This strategy significantly addresses the cytologic dilemma—78% of metastatic ccRCC nodules are misclassified as Bethesda III (lesions of undetermined significance) because of morphologic overlap (e.g., microfollicular structures and intranuclear pseudoinclusions) or missing history (no history of renal cancer was reported in 28% of patients). Compared with immunohistochemistry (PAX8 was positive in both thyroid and renal cancers), VHL combined with thyroid markers could accurately identify metastases, especially in patients of advanced age (mean age: 68 years), male (male-to-female ratio: 2:1), multiple nodules (53%), or delayed metastasis after renal cancer surgery (maximum interval 18 years). This study provides a basis for early surgical intervention of solitary thyroid metastases (the median survival period is 21 months longer than untreated patients), but it should be noted that ThyroSeq does not cover VHL promoter methylation (~7% of ccRCC inactivation mechanisms) and some rare driver genes (such as PBRM1/SETD2) (21).
Although the pathogenesis of VHL syndrome complicated by DM, pulmonary nodules, and thyroid nodules has not been reported specifically, the present patient suggests that gene mutations in VHL syndrome not only lead to tumors in multiple organs but also affect various metabolic processes in the body, resulting in DM characterized by elevated blood glucose levels.
A comprehensive search was conducted on PubMed. A total of 133 studies were found by searching for “Von Hippel-Lindau syndrome” combined with “diabetes,” “glucose,” or “insulin” in the past 10 years. Additionally, one study was found for “Von Hippel-Lindau syndrome” combined with “pulmonary nodules,” one study for “Von Hippel-Lindau syndrome” combined with “thyroid nodules,” and no study for “Von Hippel-Lindau syndrome” combined with “diabetes,” “pulmonary nodules,” and “thyroid nodules.” A total of 22 eligible cases were reviewed (Table 2). Based on these reports, the relationship between VHL syndrome and DM, pulmonary nodules, and thyroid nodules is summarized as follows: (i) When VHL syndrome presents as pancreatic cysts, DM may occur; (ii) pancreatic DM may be associated with autoantibodies against insulin; (iii) in addition to pancreatic cysts, pheochromocytoma in VHL syndrome can also lead to DM; (iv) VHL patients with large pancreatic cysts are more likely to develop DM than those without pancreatic cysts; (v) pulmonary lesions in VHL syndrome may be related to the specificity of the VHL protein mutation p.phe76del; (vi) patients with VHL syndrome and pulmonary nodules usually do not have significant respiratory symptoms; and (vii) patients with VHL syndrome can simultaneously present with DM, pulmonary nodules, and thyroid nodules. Despite the presence of severe pancreatic lesions in the reported patient, his use of insulin degludec and the significant reduction in post-aspart blood glucose levels indicate a certain degree of compensatory potential within the remaining pancreatic tissue. Early clinical identification of pathogenic VHL gene variants in patients with VHL syndrome complicated by pulmonary and thyroid nodules helps in the detection and removal of tumors to prevent or reduce secondary complications.
In summary, we present a case of VHL syndrome with DM associated with pulmonary and thyroid nodules. It was noted that the patient’s blood glucose levels were markedly elevated at the time of initial diagnosis of DM. However, following systematic treatment, patients with VHL syndrome were able to control rapidly and effectively their blood glucose using insulin therapy. This phenomenon may be attributed to the partial preservation of pancreatic function. This observation has significant clinical implications for the management of blood glucose concentrations in patients with VHL syndrome. Additionally, the presence of characteristic imaging features of pulmonary and thyroid nodules in this patient provides valuable insights into the diagnostic criteria for VHL syndrome.
All procedures conducted in this study involving human participants adhered to the ethical standards set forth by the ethics committee of Tsinghua Changgung Hospital as well as the 1964 Helsinki Declaration and its subsequent amendments. Written informed consent was obtained from the patient involved in this study. The publication of case reports does not require ethical review at our institution.
The patient provided written informed consent for publication. A copy of the signed consent form is available upon request.
We thank the patient for granting permission to publish the information.
Zhiyuan Peng and Chuan Hua contributed equally to this work.
The authors declared no potential conflicts of interest related to the research, authorship, and/or publication of this study.
None.
1. Maher ER, Iselius L, Yates JR, Littler M, Benjamin C, Harris R, et al. Von Hippel-Lindau disease: A genetic study. J Med Genet. 1991 Jul 1;28(7):443–7. 10.1136/jmg.28.7.443
2. Neumann HPH, Wiestler OD. Clustering of features of von Hippel-Lindau syndrome: Evidence for a complex genetic locus. Lancet. 1991 May;337(8749):1052–4. 10.1016/0140-6736(91)91705-Y
3. Semenza GL. Targeting HIF-1 for cancer therapy. Nat Rev Cancer. 2003 Dec;3(10):721–32. 10.1038/nrc1187
4. Maynard MA, Qi H, Chung J, Lee EHL, Kondo Y, Hara S, et al. Multiple splice variants of the human HIF-3α locus are targets of the von Hippel-Lindau E3 ubiquitin ligase complex. J Biol Chem. 2003 Mar;278(13):11032–40. 10.1074/jbc.M208681200
5. Lee CM, Hickey MM, Sanford CA, McGuire CG, Cowey CL, Simon MC, et al. VHL type 2B gene mutation moderates HIF dosage in vitro and in vivo. Oncogene. 2009 Apr 9;28(14):1694–705. 10.1038/onc.2009.12
6. Kaelin WG. Molecular basis of the VHL hereditary cancer syndrome. Nat Rev Cancer. 2002 Sep;2(9):673–82. 10.1038/nrc885
7. Ohh M, Kaelin WG Jr. VHL and kidney cancer. Methods Mol Biol. 2003;222:167–83. 10.1385/1-59259-328-3:167
8. Lonser RR, Glenn GM, Walther M, Chew EY, Libutti SK, Linehan WM, et al. von Hippel-Lindau disease. Lancet. 2003;361(9374):2059–67. 10.1016/S0140-6736(03)13643-4
9. Kaelin WG. von Hippel-Lindau disease. Annu Rev Pathol Mech Dis. 2007 Feb 1;2(1):145–73. 10.1146/annurev.pathol.2.010506.092049
10. Hidaka T, Ikawa F, Michihata N, Onishi S, Matsuda S, Ozono I, et al. Perioperative surgical risks in patients with hemangioblastomas: A retrospective nationwide review in Japan. World Neurosurg. 2023 Feb;170:e21–7. 10.1016/j.wneu.2022.10.042
11. Graziani R, Mautone S, Vigo M, Manfredi R, Opocher G, Falconi M. Spectrum of magnetic resonance imaging findings in pancreatic and other abdominal manifestations of von Hippel-Lindau disease in a series of 23 patients: A pictorial review. J Pancreas (JoP). 2014;15(1):1–18.
12. Mohr VH, Vortmeyer AO, Zhuang Z, Libutti SK, Walther MM, Choyke PL, et al. Histopathology and molecular genetics of multiple cysts and microcystic (serous) adenomas of the pancreas in von Hippel-Lindau patients. Am J Pathol. 2000 Nov;157(5):1615–21. 10.1016/S0002-9440(10)64799-2
13. Hammel PR, Vilgrain V, Terris B, Penfornis A, Sauvanet A, Correas J, et al. Pancreatic involvement in von Hippel–Lindau disease. Gastroenterology. 2000 Oct;119(4):1087–95. 10.1053/gast.2000.18143
14. Ganeshan D, Menias CO, Pickhardt PJ, Sandrasegaran K, Lubner MG, Ramalingam P, et al. Tumors in von Hippel–Lindau syndrome: From head to toe—Comprehensive state-of-the-art review. RadioGraphics. 2018 May;38(3):849–66. 10.1148/rg.2018170156
15. Van Asselt SJ, De Vries EG, Van Dullemen HM, Brouwers AH, Walenkamp AM, Giles RH, et al. Pancreatic cyst development: Insights from von Hippel–Lindau disease. Cilia. 2013 Dec;2(1):3. 10.1186/2046-2530-2-3
16. Mukhopadhyay B, Sahdev A, Monson JP, Besser GM, Reznek RH, Chew SL. Pancreatic lesions in von Hippel–Lindau disease. Clin Endocrinol. 2002 Nov;57(5):603–8. 10.1046/j.1365-2265.2002.01637.x
17. Huang Y, Hu W, Huang X. Retinal hemangioblastoma in a patient with von Hippel–Lindau disease: A case report and literature review. Front Oncol. 2022 Nov 2;12:963469. 10.3389/fonc.2022.963469
18. Fernandes DA, Mourão JLV, Duarte JÁ, Dalaqua M, Reis F, Caserta NMG. Imaging manifestations of von Hippel–Lindau disease: An illustrated guide focusing on abdominal manifestations. Radiol Bras. 2022 Oct;55(5):317–23. 10.1590/0100-3984.2021.0121
19. Onishi Y, Shimizu H, Koyasu S, Taura D, Takahashi A, Uza N, et al. Association between pancreatic cysts and diabetes mellitus in von Hippel–Lindau disease. Cureus. 2024 Feb 23;16(2):e54781. 10.7759/cureus.54781
20. Faiyaz-ul-Haque M, Jamil M, Aslam M, Abalkhail H, Al-Dayel F, Basit S, et al. Novel and recurrent germline mutations in the VHL gene in 5 Arab patients with Von Hippel-Lindau disease. Cancer Genet. 2020 May;243:1–6. 10.1016/j.cancergen.2020.02.006
21. Freeman T, Taneja C, Ohori NP, Wald AI, Skaugen J, Yip L, et al. Identifying metastatic renal cell carcinoma in thyroid fine-needle aspirates by molecular testing. Endocr Relat Cancer. 2022 Dec 1;29(12):657–64. 10.1530/ERC-22-0195
22. Wang Y, Liu Z, Zhao W, Cao C, Xiao L, Xiao J. Diversities of mechanism in patients with VHL syndrome and diabetes: A report of two cases and literature review. Diabetes Metab Syndr Obes (DMSO). 2024 Apr;17:1611–9. 10.2147/DMSO.S443495
23. Belaid R, Oueslati I, Chihaoui M, Yazidi M, Grira W, Chaker F. A case of Von Hippel–Lindau disease with bilateral pheochromocytoma and ectopic hypersecretion of intact parathyroid hormone in an adolescent girl. Case Rep Endocrinol. 2020 Aug 7;2020:1–5. 10.1155/2020/8824640
24. Giri S, Sundaram S, Darak H, Kumar S, Bhatia S. Von Hippel–Lindau disease presenting as obstructive jaundice. ACG Case Rep J. 2020 Feb;7(2):e00324. 10.14309/crj.0000000000000324
25. Saowapa S, Ativitavas T, Sriphrapradang C. Bilateral scrotal masses as a clue to diagnosis of genetic disease. Am J Med Sci. 2020 Apr;359(4):250–1. 10.1016/j.amjms.2019.11.014
26. Kaluarachchi VTS, Bulugahapitiya U, Arambewela M, Gunathilake S. Successful management of pheochromocytoma detected in pregnancy by interval adrenalectomy in a VHL patient. Case Rep Endocrinol. 2018 Jul 19;2018(1):9014585. 10.1155/2018/9014585
27. Ayloo S, Molinari M. Pancreatic manifestations in von Hippel–Lindau disease: A case report. Int J Surg Case Rep. 2016;21:70–2. 10.1016/j.ijscr.2016.02.031
28. Panayi C, Antoun N, Sandford R. Bulbar dysfunction and aspiration pneumonia due to a brainstem haemangioblastoma: An unusual complication of von Hippel–Lindau disease. BMJ Case Rep. 2016 Oct 13;2016:bcr2016217076. 10.1136/bcr-2016-217076
29. Heo SJ, Lee C Kun, Hahn KY, Kim G, Hur H, Choi SH, et al. A case of von Hippel–Lindau disease with colorectal adenocarcinoma, renal cell carcinoma and hemangioblastomas. Cancer Res Treat. 2016 Jan 15;48(1):409–14. 10.4143/crt.2014.299
30. Medina DC, Osorno R, Boutros CN. Biliary and gastric drainage in advanced pancreatic serous cystadenoma and portal hypertension in Von Hippel–Lindau syndrome. J GI Oncol. 2014;5(2):E50–3.