Download

CASE REPORT

Renal Cell Carcinoma with Cardiac Metastases: A Case Report and Review of the Literature

Ellen M. Cahill1, Alexandra Tabakin1, Brian Shinder1, Mark Bramwit2, Biren Saraiya3, Xinyang Xu4, Cristo G. Salazar4, Zhongren Zhou4, Eric A. Singer1*

1Section of Urologic Oncology, Rutgers Cancer Institute of New Jersey and Rutgers Robert Wood Johnson Medical School, New Brunswick, NJ, USA;

2Department of Radiology, Rutgers Robert Wood Johnson Medical School, New Brunswick, NJ, USA;

3Division of Medical Oncology, Rutgers Cancer Institute of New Jersey and Rutgers Robert Wood Johnson Medical School, New Brunswick, NJ, USA;

4Department of Pathology and Laboratory Medicine, Rutgers Robert Wood Johnson Medical School, New Brunswick, NJ, USA

Abstract

Cardiac metastases from renal cell carcinoma (RCC) are very rare. We describe the case of a woman with RCC with cardiac metastases involving the entire right atrium, penetrating through the myocardium, with extension into the tricuspid valve and right ventricle. This report highlights the unique challenge of the diagnosis and treatment of cardiac metastases in RCC.

Key words: cardiac mass, clear cell, metastatic renal cell carcinoma, renal cell carcinoma, systemic therapy

Received: 20 February 2022; Accepted after revision: 11 May 2022; Published: 25 May 2022

Author for correspondence: Eric A. Singer, MD, MA, MS, FACS, FASCO, Associate Chief of Urology and Urologic Oncology, Associate Professor of Surgery and Radiology, Director of Kidney Cancer Program, Rutgers Cancer Institute of New Jersey, Director of Distinction in Bioethics Program, Rutgers Robert Wood Johnson Medical School, Chair. of Ethics Committee, Robert Wood Johnson University Hospital, 195 Little Albany Street Room 4563, New Brunswick, NJ 08903, USA. Email: eric.singer@rutgers.edu

How to cite: Cahill EM, et al. Renal Cell Carcinoma with Cardiac Metastases: A Case Report and Review of the Literature. J Kidney Cancer VHL. 2022; 9(2): 32–38.

Doi: http://dx.doi.org/10.15586/jkcvhl.v9i2.229

Copyright: Cahill EM, et al.

License: This open access article is licensed under Creative Commons Attribution 4.0 International (CC BY 4.0). http://creativecommons.org/licenses/by/4.0

Introduction

In the United States, renal cell carcinoma (RCC) accounts for 2–3% of all adult malignant neoplasms and is the most lethal of the common urologic cancers (1). The incidence of RCC in the United States has increased approximately by 3–4% per year since the 1970s, which is attributed to increased use of ultrasound and CT imaging (2). In the United States, there will be an estimated 79,000 people diagnosed with RCC and 13,920 deaths from this disease in 2022 alone (3).

Approximately, 20% of patients present with distant metastases or advanced locoregional disease (4, 5). Treatment for metastatic RCC is challenging and may include systemic therapy with immunotherapy and/or molecularly targeted therapy, cytoreductive nephrectomy, metastasectomy, or clinical trial enrollment (69). Typical sites of metastases include the lymph nodes, lung, bone, liver, and brain (1012). Other rare sites of metastases include the head and neck, skin, skeletal muscle, and pelvis (13). Cardiac metastases in RCC are very rare, and are most often a post-mortem finding. Here, we report the case of a patient diagnosed with RCC with cardiac metastases.

Case Report

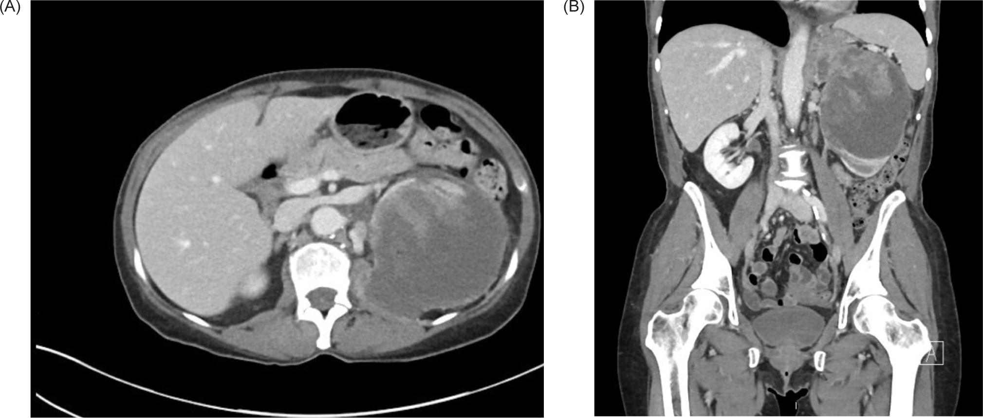
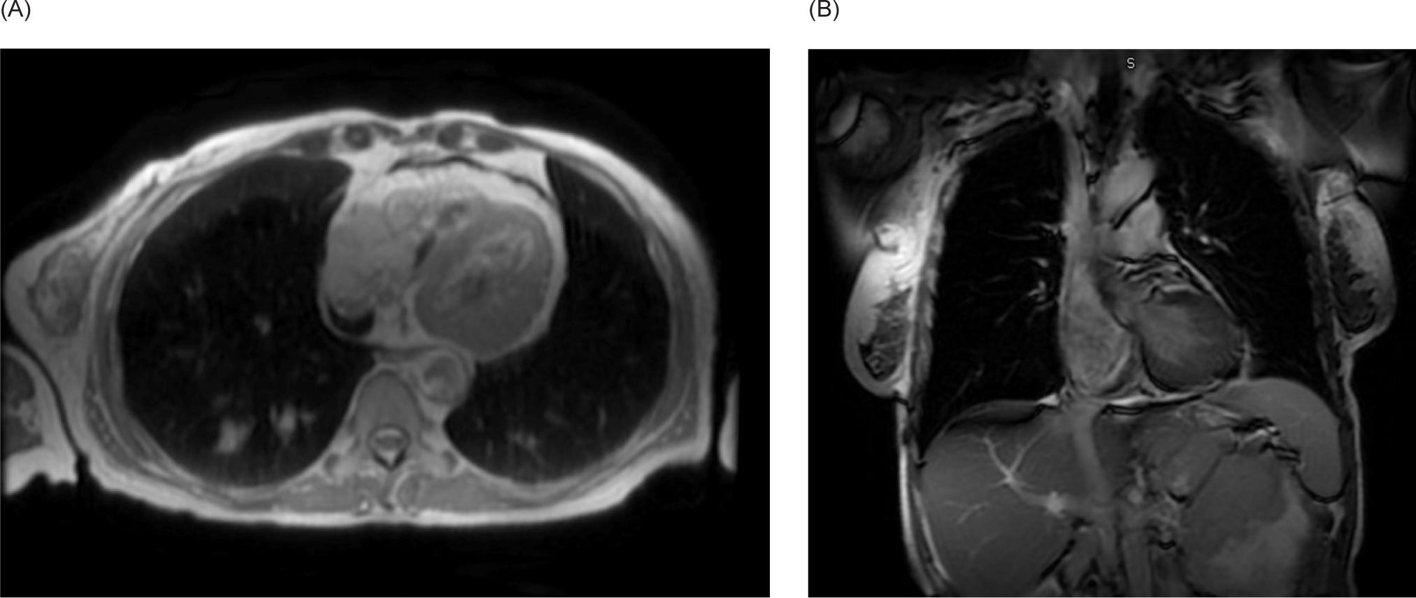
A 59-year-old female smoker with history of hypertension and hyperlipidemia who was screened for lung cancer with yearly low-dose CT scans was incidentally found to have a large left renal mass. Further evaluation via CT revealed a complex enhancing renal mass measuring 9.2.2 × 9.3 × 12.4 cm with extension into the left psoas muscle and abutting the pancreatic tail, spleen, and stomach (Figure 1). The patient underwent excision of a soft tissue mass, and surgical pathology was consistent with sarcoma. PET-CT scan revealed multiple avid lesions including lung nodules of up to 1.5 cm, a left adrenal mass, retroperitoneal adenopathy, and soft tissue metastases in the pelvic muscles as well as a lesion near the right atrium (Figure 2). An echocardiogram was performed in order to further evaluate the cardiac finding on the PET-CT scan, which revealed a 3.5 × 3.4 cm mass attached to the right atrial free wall, which was thought to represent a large thrombus or cardiac tumor, as well as a 0.75 cm mass noted on the atrial aspect of the IVC-RA junction likely representing the thrombus. Left ventricle ejection fraction was normal at 65%. The patient was instructed by her cardiologist to present to the Emergency Department for further evaluation given these findings. On presentation, the patient reported intermittent left flank pain, EKG was normal sinus rhythm with no acute ST changes, and CTA scan revealed likely invasion of perivascular nodules in the right upper lobe into subsegmental pulmonary arterial branches with associated pulmonary emboli within the distal subsegmental and more distal branches. The following day, cardiac MRI confirmed an intra-cardiac tumor occupying the entire right atrium with extension through the myocardium into the epicardial space and through the tricuspid valve into the right ventricle (Figure 3). MRI brain revealed three lesions consistent with metastatic disease. Renal biopsy was consistent with clear cell RCC with sarcomatoid features (Figure 4). Immunohistochemical studies were positive for desmin, PAX8, and myogenin, and negative for CK7. Patient was identified as poor risk per International Metastatic RCC Database Consortium (IMDC), with a median survival of 7.8 months. The patient received Ipilimumab and Nivolumab for one cycle, followed by Nivolumab only due to complication of diarrhea requiring steroid therapy. After three months of therapy that included three cycles of total therapy, she was noted to have partial response per Response Evaluation Criteria in Solid Tumors (RECIST) criteria. The patient will be continued on Nivolumab. The patient was also treated with gamma knife radiosurgery for her brain metastases.

Figure 1: CT of the abdomen and pelvis with IV contrast. (A) Transverse and (B) coronal views demonstrating a 9.2 × 9.3 × 12.4 cm left renal mass with extension into the left psoas.

Figure 2: PET-CT of the chest, abdomen, and pelvis. (A) Axial and (B) coronal views demonstrating a FDG uptake of the right atrium suggestive of a cardiac metastasis. There are also FDG avid pulmonary nodules. (C) Axial and (D) coronal views demonstrating a heterogeneously attenuating 9.6 × 8.7 cm left renal mass and accompanying 5.9 × 4.3 FDG avid adrenal mass. There is also a 2.6 × 1.2 cm FDG avid right adrenal metastasis and multiple FDG avid abdominopelvic nodules.

Figure 3: Cardiac MRI. (A) Transverse and (B) coronal views demonstrating a large intra-cardiac tumor occupying the majority of the right atrium extending through the myocardium into the epicardial space and through the tricuspid valve into the right ventricle.

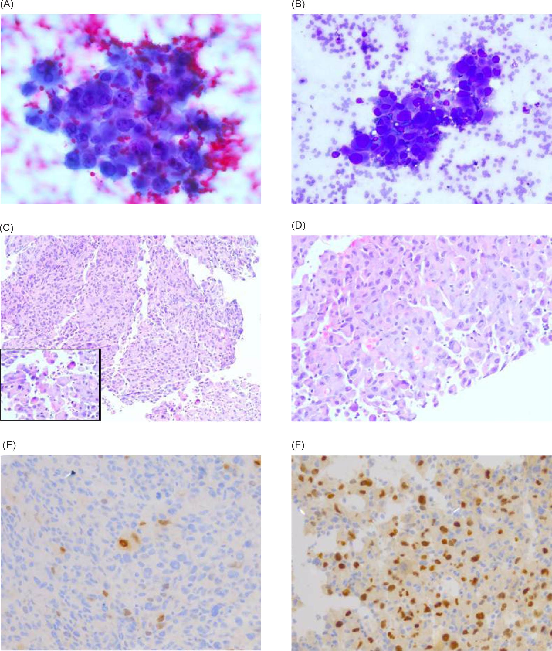
Figure 4: (A) Tumor cells from cytology with Papanicolaou stain (400× magnification); (B) Tumor cells from cytology with quick diff stain (400× magnification); (C–D) Tumor with featured rhabdoid cells (insert C) (C-200× magnification, insert 400× magnification; D-400× magnification); (E) Myogenin stain positive rhabdoid cells; (F) PAX 8 stain positive tumor cells.

Surgical Pathology description: Cytology specimen shows groups of cells featured with large pleomorphic appearances of high nuclear-cytoplasm ratio, irregular nuclear membrane, and unevenly distributed chromatin. Core biopsy shows sheets of large pleomorphic cells with similar previously described features and abnormal mitosis. Scattered high-grade malignant cells with rhabdoid morphology are noted. The cells have large eccentric vesicular nuclei, prominent nucleoli, and abundant eosinophilic cytoplasm. Overall morphology is consistent with sarcomatoid-type renal cell carcinoma (RCC) with focal rhabdoid features.

Discussion

Cardiac tumors occur more often from metastases than from primary tumors (14, 15). Most cardiac metastases originate from the lung, breast, melanoma, and hematologic malignancies (10, 14). Cardiac metastases are very rare in RCC and have been described sporadically in case reports.

Clinical manifestations of cardiac metastases vary depending on location. Most patients are asymptomatic and cardiac metastases are most commonly a post-mortem finding (14, 15). When symptoms are present, they may include dyspnea, chest pain, arrythmia, heart failure, or pericardial effusion (14, 16). In patients with RCC specifically, cardiac metastases are usually discovered incidentally and patients are asymptomatic (17, 18). However, several case reports have described patients presenting with dyspnea, palpitations, and syncope found to have RCC with cardiac metastases (10, 19, 20). On echocardiogram, cardiac metastases may be mistaken for thrombi, endocarditis, or primary tumors; therefore, advanced imaging with cardiac MRI is often necessary to determine the diagnosis (19, 21).

Two separate mechanisms for the development of cardiac metastases in RCC have been proposed. One mechanism is extension of the tumor into the vena cava with growth along the caval wall and into the right heart (10, 19, 22). An additional proposed mechanism is lymphatic or lymphohematogenous spread from kidney tumor cells into the thoracic duct and into the superior vena cava (SVC), which has been associated with a poorer prognosis (10, 12, 19).

The optimal treatment strategy for patients with RCC with cardiac metastases is unknown. While metastasectomy may be an option for some patients with an isolated cardiac metastasis, surgical resection is more often not possible due to tumor location or co-morbid conditions (10, 16, 18, 23). Combination immunotherapy with monoclonal antibodies directed against programmed death 1 (PD-1) such as nivolumab and cytotoxic T-lymphocyte-associated antigen 4 (CTLA-4) such as ipilimumab have become an integral part of managing metastatic RCC (6, 8, 24, 25). However, these agents have not been tested in patients with cardiac metastases (16, 26). Additional research has focused on the role of combination immunotherapy (e.g., nivolumab) plus antiangiogenic tyrosine kinase inhibitors (TKI) (e.g., cabozantinib) in treating metastatic RCC (27). However, TKIs carry cardiotoxic risks including hypertension, arterial and venous thrombosis, decline in ejection fraction, heart failure, myocardial ischemia, or infarction (18, 28, 29). These agents have unknown efficacy in cardiac metastases and the cardiac side effects pose an additional challenge in treatment decision-making for patients with cardiac metastases (18, 22, 30).

Case reports of patients with RCC with cardiac metastases have described anecdotal evidence of partial response using systemic agents such as cabozantinib, pazopanib, sunitinib, and nivolumab (16, 18, 22, 29). One author utilizing the anti-angiogenic TKI sunitinib in a patient with cardiac metastases recommended following cardiac function closely with serial echocardiograms given the potential for cardiotoxicity (18). However, the best treatment regimen for patients with RCC with cardiac metastases remains unknown. An additional consideration in the present case was that pathology was consistent with RCC with sarcomatoid features. A post hoc analysis of the phase III Check Mate 214 trial showed significantly increased overall survival, progression-free survival, and overall response rate with nivolumab and ipilimumab compared to sunitinib in patients with sarcomatoid RCC and intermediate/poor-risk disease (31).

Conclusion

This report describes a case of metastatic RCC to the heart and highlights the unique diagnostic and therapeutic challenges associated with cardiac metastases in RCC. Given the majority of patients with cardiac metastases will be asymptomatic and certain systemic therapies may be cardiotoxic, consideration must be given to this disease entity.

Acknowledgements

This work is supported by a grant from the National Cancer Institute (P30CA072720).

Conflicts of interest

The authors declare no potential conflicts of interest with respect to research, authorship, and/or publication of this article.

REFERENCES

1. Capitanio U, Bensalah K, Bex A, Boorjian SA, Bray F, Coleman J, et al. Epidemiology of renal cell carcinoma. Eur Urol. 2019;75(1):74–84. 10.1016/j.eururo.2018.08.036

2. Decastro GJ, McKiernan JM. Epidemiology, clinical staging, and presentation of renal cell carcinoma. Urol Clin North Am. 2008;35(4):581–592; vi. 10.1016/j.ucl.2008.07.005

3. Siegel RL, Miller KD, Fuchs HE, Jemal A. Cancer statistics, 2022. CA Cancer J Clin. 2022;72(1):7–33. 10.3322/caac.21708

4. Garnick MB. Primary neoplasms of the kidney. In: Wilcox CS, editor. Therapy in nephrology and hypertension: A companion to Brenner and Rector’s the kidney. Philadelphia, PA: WB Saunders; 337–40. 1998.

5. Padala SA, Barsouk A, Thandra KC, Saginala K, Mohammed A, Vakiti A, et al. Epidemiology of renal cell carcinoma. World J Oncol. 2020;11(3):79–87. 10.14740/wjon1279

6. Schmidt AL, Tabakin AL, Singer EA, Choueiri TK, McKay RR. Next steps: Sequencing therapies in metastatic kidney cancer in the contemporary era. Am Soc Clin Oncol Educ Book. 2021;41:1–11. 10.1200/EDBK_320785

7. Geynisman DM, Maranchie JK, Ball MW, Bratslavsky G, Singer EA. A 25 year perspective on the evolution and advances in an understanding of the biology, evaluation and treatment of kidney cancer. Urol Oncol. 2021;39(9):548–560. 10.1016/j.urolonc.2021.04.038

8. Tabakin AL, Stein MN, Anderson CB, Drake CG, Singer EA. Cytoreductive nephrectomy for metastatic renal cell carcinoma, the ultimate urologic “Choosing Wisely” campaign: A narrative review. Transl Cancer Res. 2020;9(11):7337–7349. 10.21037/tcr-20-2343

9. Patel HV, Shinder B, Srinivasan R, Singer EA. Challenges and opportunities in the management of metastatic renal cell carcinoma: Combination therapy and the role of cytoreductive surgery. Curr Opin Oncol. 2020;32(3):240–249. 10.1097/CCO.0000000000000621

10. Bazine A, Fetohi M, Tanz R, Mahfoud T, Ichou M, Errihani H. Cardiac metastases of renal cell carcinoma revealed by syncope: Diagnosis and treatment. Case Rep Oncol. 2014;7(2):560–564. 10.1159/000366292

11. Alghamdi A, Tam J. Cardiac metastasis from a renal cell carcinoma. Can J Cardiol. 2006;22(14):1231–1232. 10.1016/S0828-282X(06)70964-3

12. Zustovich F, Gottardo F, De Zorzi L, Cecchetto A, Dal Bianco M, Mauro E, et al. Cardiac metastasis from renal cell carcinoma without inferior vena involvement: A review of the literature based on a case report. Two different patterns of spread? Int J Clin Oncol. 2008;13(3):271–274. 10.1007/s10147-007-0730-6

13. Sountoulides P, Metaxa L, Cindolo L. Atypical presentations and rare metastatic sites of renal cell carcinoma: A review of case reports. J Med Case Rep. 2011;5:429. 10.1186/1752-1947-5-429

14. Goldberg AD, Blankstein R, Padera RF. Tumors metastatic to the heart. Circulation. 2013;128(16):1790–1794. 10.1161/CIRCULATIONAHA.112.000790

15. Campisi A, Ciarrocchi AP, Asadi N, Dell’Amore A. Primary and secondary cardiac tumors: Clinical presentation, diagnosis, surgical treatment, and results. Gen Thorac Cardiovasc Surg. 2022;70(2):107–115. 10.1007/s11748-021-01754-7

16. Stellato M, Cursano MC, Citarella F, Pantano D, Russano M, Dell’ Aquila E, et al. Response to cabozantinib in renal cell carcinoma with cardiac metastases. Anticancer Drugs. 2020;31(3):314–318. 10.1097/CAD.0000000000000889

17. Barajas-Ochoa A, Suero-Abreu GA. Cardiac metastases from renal cell carcinoma. J Gen Intern Med. 2020;35(12):3711–3712. 10.1007/s11606-020-06200-7

18. Zhang B, Malouf J, Young P, Kohli M, Dronca R. Cardiac metastasis in renal cell carcinoma without vena cava or atrial involvement: An unusual presentation of metastatic disease. Rare Tumors. 2013;5(3):e29. 10.4081/rt.2013.e29

19. Li Fraine S, Coman D, Durand M, Laskine M. Renal cell carcinoma with cardiac metastases. World J Oncol. 2021;12(4):124–126. 10.14740/wjon1376

20. Usman RM, Yahya O, Marella HK, Jain AL, Peravali R, Premkumar R, et al. Renal cell carcinoma presenting with combined cervical lymphadenopathy and cardiac metastasis without inferior vena cava involvement. WMJ. 2021;120(2):142–144.

21. Nkengurutse G, Wang Q, Tian F, Jiang S, Zhang L, Sun W. Renal cell carcinoma metastasizing to left atrium with coronary sinus invasion: A rare site of metastasis mimicking myxoma. Front Oncol. 2019;9:738. 10.3389/fonc.2019.00738

22. Schinzari G, Monterisi S, Signorelli D, Cona MS, Cassano A, Danza F, et al. Cardiac metastasis from renal cell carcinoma successfully treated with pazopanib: Impact of TKIs’ antiangiogenic activity. Tumori. 2014;100(6):e298–300. 10.1177/1778.19304

23. Miura S, Yamada A, Iba Y, Maruyama R, Hatta E, Kurimoto Y. Surgical treatment of isolated right ventricular metastasis from renal cell carcinoma. Surg Case Rep. 2019;5(1):162. 10.1186/s40792-019-0733-3

24. Khetani VV, Portal DE, Shah MR, Mayer T, Singer EA. Combination drug regimens for metastatic clear cell renal cell carcinoma. World J Clin Oncol. 2020;11(8):541–562. 10.5306/wjco.v11.i8.541

25. Doppalapudi SK, Leopold ZR, Thaper A, Kaldany A, Chua K, Patel HV, et al. Clearing up clear cell: Clarifying the immuno-oncology treatment landscape for metastatic clear cell RCC. Cancers (Basel). 2021;13(16) 4140. 10.3390/cancers13164140

26. Kane CJ, Mallin K, Ritchey J, Cooperberg MR, Carroll PR. Renal cell cancer stage migration: analysis of the National Cancer Data Base. Cancer. 2008;113(1):78–83. 10.1002/cncr.23518

27. Choueiri TK, Powles T, Burotto M, Escudier B, Bourlon MT, Zurawski B, et al. Nivolumab plus cabozantinib versus sunitinib for advanced renal-cell carcinoma. N Engl J Med. 2021;384(9):829–841. 10.1056/NEJMoa2026982

28. Yuen A, Crandall B. Cardiovascular effects of tyrosine kinase inhibitors in patients with advanced renal cell carcinoma at the VA Sa n Diego healthcare system. Fed Pract. 2019;36(Suppl 3):S18–S24.

29. Ansari J, Alhelali S, Albinmousa Z, Farrag A, Ali AM, Abdelgelil M, et al. Rare case of intracardiac renal cell carcinoma metastasis with response to nivolumab: Case report and literature review. Case Rep Oncol. 2018;11(3):861–870. 10.1159/000495459

30. Cheng H, Force T. Why do kinase inhibitors cause cardiotoxicity and what can be done about it? Prog Cardiovasc Dis. 2010;53(2):114–120. 10.1016/j.pcad.2010.06.006

31. Tannir NM, Signoretti S, Choueiri TK, McDermott DF, Motzer RJ, Flaifel A, et al. Efficacy and safety of nivolumab plus ipilimumab versus sunitinib in first-line treatment of patients with advanced sarcomatoid renal cell carcinoma. Clin Cancer Res. 2021;27(1):78–86. 10.1158/1078-0432.CCR-20-2063